Zobozdravstvo Vrhnika |
Če iščete dobro zobozdravstvo na Vrhniki za otroke in mladino, ste na pravem naslovu. Obrnite se na zobno ambulanto MARIJA OGRIN - STOMATOLOGINJA.
V zobozdravstvu, ki se nahaja v prostorih Osnovne šole Martina Slomška na Vrhniki, obravnavamo otroke in mladostnike do 19 leta starosti.

Delujemo v okviru koncesije in kot uveljavljeno zobozdravstvo Vrhnika že vrsto let zagotavljamo profesionalne stomatološke storitve na področju:
- preventive,
- konzervativnega zdravljenja
- in protetike (po potrebi).
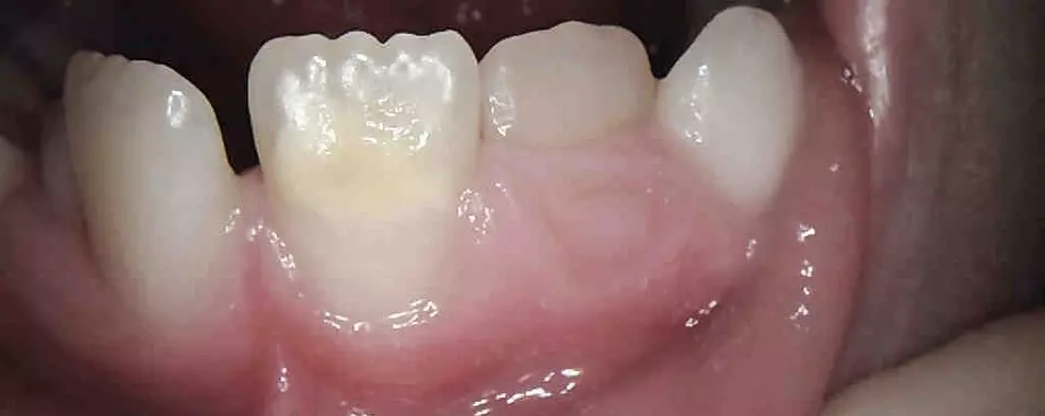
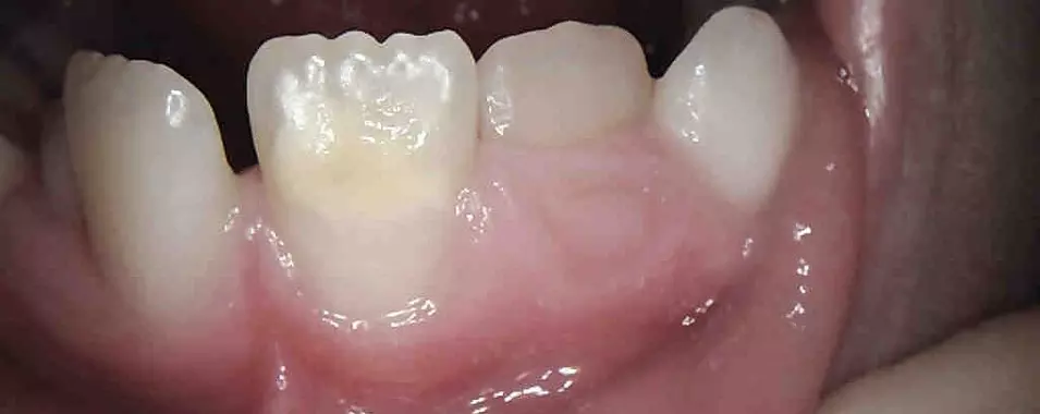
Celovito in zavzeto skrbimo za zdravje zob, dlesni in ustne votline, pri tem pa svojim pacientom tudi svetujemo in jih učimo pravilne skrbi za ustno higieno doma. Prepoznavni smo kot zanesljivo, izkušeno zobozdravstvo na Vrhniki in se vsem pacientom prijazno, strokovno ter individualno posvečamo, da od nas odhajajo z zdravimi ter lepimi nasmehi.
Če potrebujete še dodatne informacije, vezane na zobozdravstvo Vrhnika, smo vam na voljo, prav tako nas lahko pokličite, nam pišete ali osebno obiščite, če se želite naročiti na pregled.
Povpraševanja
Ocene 0