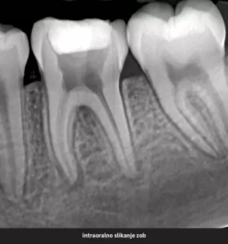
Slikanje zob Obala |
V podjetju X - DENT d.o.o. smo strokovnjaki na področju zobozdravstvenih storitev. Smo pravi naslov za vas, ko potrebujete hitro slikanje zob na Obali.
Slikanje zob je potrebno zaradi:
- zaščite zdravja vaših zob,
- preventive patoloških benignih in malignih sprememb
- forenzičnih razlogov

Slikanje zob Obala
Poleg tega, da je slikanje zob Obala storitev, na katero se ne rabite naročiti in ste takoj na vrsti, jo izvajamo s pomočjo najsodobnejše opreme, ki nam omogoča, da fotografije v digitalni obliki pošljemo neposredno vašemu zobozdravniku kar po elektronski pošti.
Slikanje zob Obala je povsem neboleč postopek, ki traja le nekaj sekund, za vsa dodatna pojasnila pa vam je ves čas na voljo profesionalno, strokovno in izkušeno osebje.

Zakaj izbrati nas, če potrebujete slikanje zob Obala?
- Naše delo je podprto z dolgoletnimi izkušnjami (smo prvi zasebni rentgen v Sloveniji) in poglobljenim strokovnim znanjem.
- Vlagamo v svoj razvoj, tako v izobraževanje in usposabljanje kadra kakor v uvajanje najsodobnejših, najbolj varnih in hitrih ter profesionalnih tehnologij za slikanje zob.
- Za slikanje zob Obala boste pri nas dobili najboljše razmerje med kakovostjo in ceno.
- Imamo odlične reference in smo pridobili zaupanje mnogih stomatologov in pacientov iz vse Slovenije.

Potrebujete hitro in profesionalno slikanje zob, Obala pa je območje kjer storitev iščete? Prišli ste na pravi naslov!
Slikanje zob Obala je na voljo na naslovu:
Ulica Oktobrske revolucije 11, Izola (zdravstveni dom Izola).
Poleg tega nas lahko obiščete tudi v poslovni enoti v:
- Novi Gorici Gradnikove Brigade 51, 5000 Nova Gorica,
- Ljubljani na Miklošičevi cesti 15, 1000 Ljubljana,
- ter v Kranju na Koroški cesti 26, 4000 Kranj.
Več o nas, o tem kako poteka slikanje zob Obala, komu je namenjeno, kakšno opremo imamo in več o poslovnem času najdete na naši spletni strani, dosegljivi pa smo tudi preko telefona in elektronske pošte, da vam odgovorimo na vsa morebitna vprašanja, ki jih imate vezana na slikanje zob Obala.
Povpraševanja
Ocene 0