Če iščete strokovno in celostno rešitev za Zobna protetika, implantati v Ljubljani, Osrednji Sloveniji, je Premiodent d.o.o. prava izbira za vse, ki si želite funkcionalen ugriz, estetsko dovršen nasmeh in dolgoročno stabilnost zobovja. Našo ekipo sestavljajo trije vrhunsko usposobljeni in izkušeni strokovnjaki na področju zobne protetike, ki se lahko pohvalijo z dolgoletno prakso ter številnimi zadovoljnimi pacienti.
Zobna protetika, implantati v Ljubljani, Osrednji Sloveniji predstavljajo sodobno rešitev za paciente z delno ali popolno brezzobostjo, obrabljenimi zobmi ali nepravilnim ugrizom. Nezdravljene težave lahko vodijo v oteženo prehranjevanje, prebavne motnje in posledično zmanjšano odpornost organizma. Zato je pravočasna protetična rehabilitacija ključnega pomena za ohranjanje splošnega zdravja.

V Premiodent d.o.o. pristopamo k vsakemu pacientu individualno. Uspešen rezultat je plod dobrega sodelovanja med protetikom, kirurgom, zobnim laboratorijem in pacientom. Pred začetkom protetične rehabilitacije izvedemo temeljito diagnostiko in po potrebi konzervativno pripravo zob, ki vključuje:
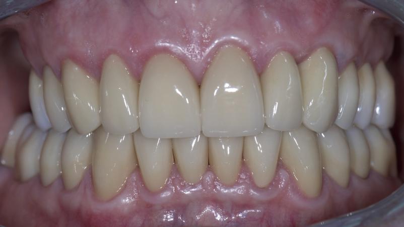
Zobna protetika, implantati v Ljubljani, Osrednji Sloveniji vključujejo implantatnoprotetično oskrbo, ki omogoča stabilno in dolgotrajno rešitev izgubljenih zob. Implantati so sodobni zobni vsadki, ki nadomeščajo korenino izgubljenega zoba ter omogočajo pritrditev fiksnih ali snemnih protetičnih nadomestkov.
Nudimo:
Implantati omogočajo naraven občutek pri žvečenju, stabilnost ter estetsko dovršen videz. Primerni so za posamezne manjkajoče zobe ali kot podpora večjim protetičnim konstrukcijam.
Zobna protetika, implantati v Ljubljani, Osrednji Sloveniji vključujejo tudi širok nabor fiksnih protetičnih rešitev:
Uporabljamo najsodobnejše materiale:
Ti materiali zagotavljajo visoko estetsko vrednost, trdnost in dolgo življenjsko dobo.
Za paciente z večjimi izgubami zob nudimo snemne rešitve:
Posebno rešitev predstavljajo konusne prevleke:
Takšne rešitve omogočajo večjo stabilnost, boljši oprijem in udobnejšo uporabo.

Zobna protetika, implantati v Ljubljani, Osrednji Sloveniji so del širše strokovne ponudbe, ki vključuje tudi:
Naš cilj je celostna obravnava pacienta, ki vključuje funkcionalni in estetski vidik zobovja.
Ordinacija deluje po predhodnem dogovoru, kar omogoča prilagodljivost in dovolj časa za kakovostno obravnavo vsakega posameznika. Zobna protetika, implantati v Ljubljani, Osrednji Sloveniji pri Premiodent d.o.o. temeljijo na strokovnem znanju, izkušnjah in sodobnih materialih.
Če imate težave z manjkajočimi zobmi, nepravilnim ugrizom ali obrabljenim zobovjem, vam naša ekipa nudi zanesljivo in dolgoročno rešitev. Zobna protetika in implantati niso le estetska izboljšava, temveč pomemben korak k boljšemu zdravju in večji kakovosti življenja. Rezervirajte termin in naredite korak k samozavestnemu nasmehu.
Za termin pokličite ali oddajte povpraševanje.

Povpraševanja
Ocene 5
Živa je odlična zobna higieničarka. Zelo zadovoljna s storitvijo. 🤓
Super izkušnja 😉