Če iščete strokovno in zanesljivo ustno higieno, čiščenje zobnega kamna v Ljubljani, Osrednji Sloveniji, je Premiodent d.o.o. prava izbira za vse, ki želite ohraniti zdrave zobe, dlesni in dolgoročno stabilnost svojega nasmeha. Ustna higiena ni le estetska skrb, temveč temelj splošnega zdravja, zato ji v naši ordinaciji namenjamo posebno pozornost.
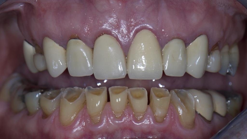
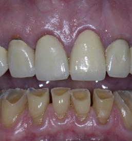
Redno čiščenje zobnega kamna v Ljubljani, Osrednji Sloveniji je ključno za preprečevanje vnetij dlesni, parodontalne bolezni in izgube zob. Zobni kamen nastane kot posledica nalaganja zobnih oblog, ki se sčasoma strdijo in jih ni več mogoče odstraniti z običajnim ščetkanjem. Če se ne odstranjuje redno, lahko povzroči krvavenje dlesni, slab zadah in napredovanje bolezni obzobnih tkiv.

V podjetju Premiodent d.o.o. se zavedamo, da je ustna higiena prvi korak k uspešni in dolgotrajni zobozdravstveni oskrbi. Našo ekipo sestavljajo trije vrhunsko usposobljeni strokovnjaki z dolgoletnimi izkušnjami, ki vsakemu pacientu namenijo individualno obravnavo. S sodobnimi pristopi in strokovnim znanjem zagotavljamo varno, učinkovito in temeljito ustno higieno in čiščenje zobnega kamna za Ljubljano in vso Osrednjo Slovenijo.
Zakaj je ustna higiena, čiščenje zobnega kamna tako pomembna?
Pacienti nas pogosto obiščejo zaradi nepravilnega ugriza, obrabljenih zob ali delne oziroma popolne brezzobosti. V vseh teh primerih je ustna higiena temelj za nadaljnje postopke. Pred protetično rehabilitacijo je nujno zagotoviti zdravo ustno okolje, saj le tako lahko dosežemo trajne in kakovostne rezultate.

Redno čiščenje zobnega kamna v Ljubljani, Osrednji Sloveniji je še posebej pomembno za paciente z zobnimi vsadki, mostički, prevlekami ali protezami. Profesionalno odstranjevanje zobnega kamna preprečuje vnetje okoli implantatov ter podaljšuje življenjsko dobo protetičnih rešitev.
V naši ordinaciji pacientom svetujemo tudi glede pravilne vsakodnevne nege:
Ustna higiena, čiščenje zobnega kamna v Ljubljani, Osrednji Sloveniji je del celostnega pristopa, ki vključuje tudi pripravo pred zahtevnejšimi posegi, kot so implantologija, fiksna ali snemna protetika. Zdrave dlesni in čisti zobje so osnova za uspešno protetično rehabilitacijo.

Naša ordinacija deluje po predhodnem dogovoru, kar pomeni, da si za vsakega pacienta vzamemo dovolj časa. Tako lahko temeljito ocenimo stanje ustne votline in prilagodimo načrt obravnave posamezniku. Zadovoljstvo pacienta je naše vodilo, zato skrbimo za prijetno in strokovno okolje.
Ustna higiena ni enkraten poseg, temveč dolgoročna naložba v zdravje. Redno čiščenje zobnega kamna v Ljubljani, Osrednji Sloveniji vam omogoča ohranjanje naravnih zob, zmanjšuje potrebo po zahtevnejših posegih in izboljšuje kakovost življenja.
Če želite strokovno ustno higieno, čiščenje zobnega kamna v Ljubljani, Osrednji Sloveniji, ki temelji na znanju, izkušnjah in individualnem pristopu, je Premiodent d.o.o. prava izbira za vas. Rezervirajte termin in naredite pomemben korak k zdravemu in samozavestnemu nasmehu.
Pošljite povpraševanje ali pokličite.

Povpraševanja
Ocene 5
Živa je odlična zobna higieničarka. Zelo zadovoljna s storitvijo. 🤓
Super izkušnja 😉