Zobozdravstvo je področje, kjer si vsak pacient želi osebnega pristopa, hitre obravnave in strokovne oskrbe. Prav zato je vse več zanimanja za storitve, ki jih nudi samoplačniški zobozdravnik v Ljubljani. V kliniki Križaj ponujamo kakovostno in prilagodljivo obravnavo brez dolgih čakalnih dob, saj razumemo, da je zdravje zob in ustne votline tesno povezano z našim splošnim počutjem.
Samoplačniške storitve omogočajo, da pacient dobi termin takrat, ko ga potrebuje, in se izogne zamudam, ki so pogoste pri drugih oblikah obravnave. Pri nas se vsaki stranki posvetimo individualno in skrbno prisluhnemo njenim potrebam. Samoplačniški zobozdravnik v Ljubljani je prava izbira za vse, ki si želijo celostne obravnave na enem mestu.
V kliniki Križaj združujemo sodobne metode, napredno tehnologijo in bogato znanje naših zobozdravnikov. Na ta način zagotavljamo, da so posegi natančni, neboleči in predvsem učinkoviti.
Naše poslovalnice:
PE: Ivančna Gorica:
Muljava 22A, Ivančna Gorica
OČ: pon-pet 7.00-20.30
splošno zobozdravstvo
PE Ljubljana:
Ukmarjeva 6, Ljubljana
OČ: po dogovoru
splošno zobozdravstvo
PE Novo mesto:
Kandijska cesta 4, Novo Mesto
OČ: po dogovoru
oralna kirurgija

Na voljo je širok nabor storitev, ki pokrivajo vse potrebe pacientov. Samoplačniški zobozdravnik v Ljubljani vam omogoča, da se naročite hitro in brez zapletov ter prejmete celovito oskrbo.
V naši ponudbi so:
Tak pristop zagotavlja, da pacienti na enem mestu dobijo vse, kar potrebujejo za zdrave in lepe zobe. Naši zdravniki svetujejo, kako preprečiti težave in kako dolgoročno ohraniti zdrav nasmeh.
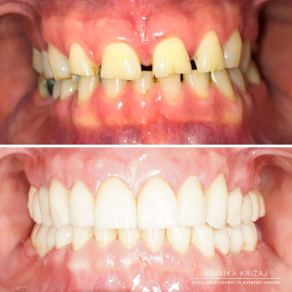
Obravnava v okviru samoplačniških storitev pomeni tudi, da lahko pacienti izbirajo med različnimi materiali in postopki. To je pomembno pri protetiki in implantologiji, pri čemer kakovostni materiali zagotavljajo trajnost in estetsko dovršenost. Prav zato je samoplačniški zobozdravnik v Ljubljani odlična izbira za vse, ki želijo dolgoročne rešitve in naraven videz.
V kliniki Križaj uporabljamo sodobne diagnostične naprave, ki omogočajo natančno analizo stanja zob in obzobnih tkiv. S tem zmanjšamo možnost zapletov in poskrbimo, da so posegi uspešni. Poleg tega redno vlagamo v izobraževanja, da ostajamo v koraku z napredkom v zobozdravstvu.

Odločitev za samoplačniškega zobozdravnika v Ljubljani ima številne prednosti, ki jih pacienti zelo cenijo. Najpomembnejše so:
Samoplačniška obravnava pomeni tudi več fleksibilnosti. Pacient lahko termin prilagodi svojemu urniku, zobozdravnik pa se mu lahko posveti brez časovne stiske. To ustvarja sproščeno okolje, kjer je komunikacija boljša, pacient pa se počuti varno in razumljeno.
Za mnoge paciente je pomembno tudi, da je obravnava diskretna in udobna. V naši kliniki ustvarjamo prijetno vzdušje, ki zmanjša strah pred zobozdravnikom. Vemo, da je zobozdravstveni stol za marsikoga stresen, zato poskrbimo, da je vsak obisk izkušnja, ki jo pacient zapusti z nasmehom.
Samoplačniški zobozdravnik v Ljubljani je dobra izbira za vse, ki cenijo svoj čas, želijo kakovostne materiale, individualen pristop in dolgoročne rezultate. Pri nas združujemo vse to – zato smo postali zaupanja vreden naslov za mnoge paciente v prestolnici in širše. Poleg zdravljenja dajemo velik poudarek tudi preventivi. Redni pregledi in pravočasni posegi so ključ do tega, da zobje ostanejo zdravi in lepi še vrsto let. Naši pacienti se zato radi vračajo, saj vedo, da jim ponujamo celovito skrb – od preventive do najbolj zahtevnih posegov.
Cenik
Za dodatne informacije smo vam na voljo po zgoraj navedenih kontaktih.

Povpraševanja
Ocene 5
Prijazen pristop in strokovna obravnava
Zelo prijetna izkušnja v Kliniki Križaj! Popravili so mi odkrušen zob, vse brez bolečin in z veliko potrpljenja. Res sem vesela, da sem jih izbrala.
S storitvami sem izredno zadovoljna. Ekipa je zelo profesionalna in strokovna. Obravnava je natančna, bila sem v rokah perfekcionistov, ki so svoje delo opravili več kot odlično (J. Arnež, T. Malgaj, A. Križaj, N. Cerkvenik). Odkar sem v rokah ekipe Klinike Križaj, je obisk zobozdravnika prijeten dogodek.
Priporočam!