Iščete najboljšega zasebnega zobozdravnika?
Pridite v ARTIDENT d.o.o. na Dunajsko cesto 192, Ljubljana Bežigrad.
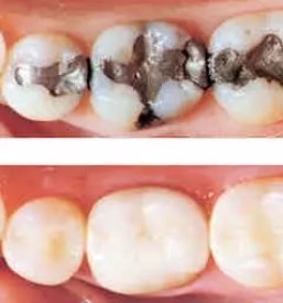
V sodobni zdravstveni ordinaciji zanesljivo poskrbimo za vaš zdrav in lep nasmeh.
Ukvarjamo se s sodobnim zobozdravstvom in implantologijo, novost v naši ponudbi pa je tudi Invisalign ortodontija.

Če je najboljši zasebni zobozdravnik v Ljubljani, kar iščete, pridite v Bežigrad. Naročimo vas v najkrajšem možnem času in se vam celovito in prijazno posvetimo ter na podlagi natančne diagnostike za vas poiščemo najbolj primerno in učinkovito metodo zdravljenja.
Za zadovoljstvo svojih pacientov skrbimo z najsodobnejšimi materiali in ob pomoči najnovejše tehnologije, ki nam omogoča, da so postopki na našem zobozdravniškem stolu urejeni hitro in brez bolečin.
K nam se pacienti vračajo brez strahu, zato smo prepoznavni kot eden najboljših zasebnih zobozdravnikov, ki ga pozna vsa Ljubljana in tudi pacienti od drugje pridejo z veseljem k nam v Bežigrad.
Bodite med našimi zadovoljnimi pacienti tudi vi in se čim prej naročite na pregled.
Povpraševanja
Ocene 0