Kakovostni implantati in protetika Bežigrad Ljubljana |
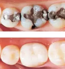
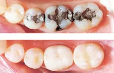
V zobni ordinaciji ARTIDENT, ZOBOZDRAVSTVENE STORITVE, D.O.O. so vam na voljo kakovostni implantati in protetika, ukvarjamo pa se tudi z ortodontijo (Invisalign ...) in estetskim zobozdravstvom.
Pri nas torej dobite celovite zobozdravstvene storitve na enem mestu, vse pa so urejene neboleče in z najboljšimi materiali.

Smo izkušeni in usposobljeni, svoje znanje pa nenehno tudi nadgrajujemo, tako da ostajamo najboljši na področju implantologije, protetike in ostalih zobozdravstvenih storitev.
Stranke se rade odločijo za nas zato, ker nudimo celovito, strokovno in prijazno zobozdravstveno obravnavo in pacientom namenimo dovolj časa za natančno diagnostiko ter iskanje pravih rešitev, s katerimi dosežemo lep in zdrav nasmeh.
Pokličite nas, če vas zanimajo storitve vezane na kakovostni implantati in protetika, Bežigrad Ljubljana pa je območje, kjer iščete zaupanja vrednega zobozdravnika. Z veseljem vam bomo pomagali!
Povpraševanja
Ocene 0