Za zdrav nasmeh in veliko mero samozavestnosti, se obrnite na nas. Preberite več o zobozdravstvenih storitvah in ustni higieni v Ljubljani pri nas.
V sklopu zobozdravstvenih storitev in ustne higiene, ki ju nudimo v Ljubljani in Osrednji Sloveniji, je tudi zobna protetika.

Iščete dobrega zobozdravnika? Takega, pri katerem pred obiskom ne bi trepetali? Kontaktirajte Dentalni studio AS, Aleksandra Zorič Homan, dr. dent. med., ki nudi odlične zobozdravstvene storitve v Osrednji Sloveniji. Naša ambulanta je prijetna in opremljena z najbolj sodobnimi pripomočki zobozdravstvenimi dodatki, instrumenti in napravami, ki omogočajo celovite, natančne in hitre obravnave ter preglede.
Zobozdravstvene storitve v naši ambulanti v Osrednji Sloveniji so na voljo vsem, ki iščete kvaliteto in prijazno storitev. Obiščite nas in z veseljem se vam bomo posvetili. Naše osebje je prijazno in prijetno, nudilo pa vam bo kakovostne obravnave, vam prisluhnilo in nudilo najboljšo zobozdravstveno nego.
Pri svojem delu uporabljamo le preverjene materiale, ki jih pacienti dobro prenašajo. Vse našteto nam skupaj s profesionalnimi pripomočki in aparaturo omogoča doseganje vrhunskih rezultatov. Nenehno se izobražujemo, nadgrajujemo svoje znanje in bogatimo izkušnje, ki jih marljivo uporabljamo pri nudenju zobozdravstvenih storitev v Ljubljani.

Pomembno nam je, da se pacienti pri nas dobro počutijo in da jih ni strah obiska. Za to poskrbi profesionalen a prijeten pristop in odnos.
Nudimo nasvete in pomoč pri ustni higieni, v Ljubljani in Osrednji Sloveniji pa smo na voljo tudi za:

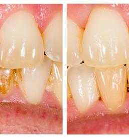
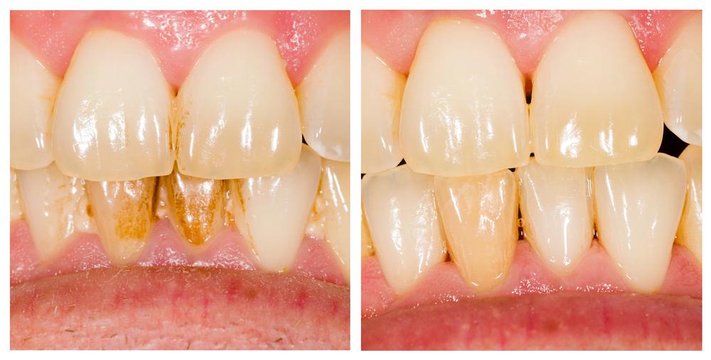
Z veseljem vam bomo pomagali poskrbeti za zdravje vaših zob in dlesni, pri tem pa vam bomo svetovali tudi glede prvega koraka - ustne higiene.
V Ljubljani in Osrednji Sloveniji smo vam na voljo preko navedenih kontaktnih podatkov, in z veseljem se vam bomo posvetili ter odgovorili na morebitna vprašanja, povezana z zobozdravstvenimi storitvami in ustno higieno. Prijazno vas pozdravimo, se z vami pomenimo, prisluhnemo vašim željam in uredimo želeno.
CENIK: za vse podrobnejše informacije o cenah naših storitev nas kontaktirajte.

Povpraševanja
Ocene 7