Zobni rentgen Cvetka Kalan d.o.o. sodimo med boljše zobozdravstvene ordinacije, ki vam nudijo dober RTG zob v Ljubljani, center. Pokličite nas in se z nami dogovorite za termin.

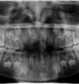
Svojim pacientom nudimo dober RTG zob v Ljubljani, center, kjer se nahaja naša ordinacija. Nudimo vam varno in natančno slikanje zob, ki je odločilnega pomena za nadaljnjo zdravljenje in zobozdravstveno obravnavo.
Srce naše zobozdravstvene ordinacije je odgovorno, profesionalno in izkušeno osebje, ki se vam popolnoma posveti in vam nudi celostno zasnovano obravnavo – predhodno svetovanje, RTG zob in posvet. V Ljubljani, center smo znani kot zelo strokoven in zanesljiv ponudnik.
Če potrebujete dober RTG zob, Ljubljana pa je kraj, od koder prihajate, potem nas pokličite in z veseljem vam bomo pomagali. Dodelili vam bomo termin za obisk in se vam popolnoma posvetili.

Glavna prioriteta naše zobozdravstvene ordinacije je vaše zdravje. Z našo pomočjo boste lažje in bolj učinkovito poskrbeli za svoje zobe in ustno votlino, ki vpliva na samozavest in splošno dobro počutje človeka.
Pri svojem delu uporabljamo le najboljšo opremo, ki zagotavlja, da je RTG zob, ki ga opravljamo v Ljubljani, center, povsem varen, učinkovit, rezultati pa hitri in nazorni.
Rezultate, ki jih prinaša naš dober RTG zob v Ljubljani interpretirajo strokovnjaki in na podlagi slike določijo diagnozo in nadaljnjo zdravljenje, ki je potrebno za doseganje optimalnega stanja.

Dober RTG v Ljubljani je pomembna storitev naše zobozdravstvene ordinacije. Nudimo vam ugodne cene slikanja ter najboljše razmerje med kakovostjo in ceno.
Naročite se pri nas za dober RTG zob v Ljubljani in prepričani ste lahko, da vas ne bomo razočarali. Popolnoma se vam bomo posvetili in vam zagotovili odlično uporabniško izkušnjo.
Dober RTG Ljubljana – cenik:
Pokličite nas termin in z veseljem se vam bomo popolnoma posvetili in vam tako omogočili popolno zdravje in lep ter zavidanja vreden nasmeh. Za cenik vseh naših storitev pa si oglejte našo spletno stran.

Povpraševanja
Ocene 12
Zobni rentgen
Izjemno prijazna in profesionalna storitev! Zobni rentgen Cvetka Kalan d.o.o. nudi hitro, natančno in kakovostno diagnostiko. Osebje je izjemno prijazno, vzdušje pa sproščeno, kar zelo olajša celoten postopek. Termin sem dobil hitro, slika pa je bila pripravljena brez čakanja. Toplo priporočam vsem, ki iščejo zanesljiv in strokoven zobni rentgen!
Hitra obravnava in prijazno osebje
Zelo profesionalna ekipa. Rentgen je bil opravljen hitro, natančno in brez bolečin. Vse poteka mirno, prostori so čisti in moderno opremljeni. Okolje je res prijetno in osebje strokovno.