Zdravljenje ustnih bolezni Portorož |
ESPERIA DENT d.o.o. je pravi naslov, ko potrebujete učinkovito zdravljenje ustnih bolezni.
Sedež podjetja imamo v Portorožu, k nam pa prihajajo pacienti tudi iz širše okolice.
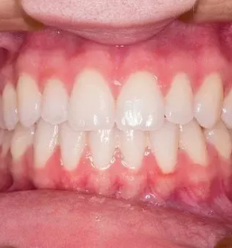
Sodobno, funkcionalno opremljena ordinacija v Portorožu je kraj, kjer poskrbimo za dobro počutje in strokovno obravnavo. S sodobno medicinsko opremo in vrhunskimi strokovnjaki skrbimo za zgodnje odkrivanje in uspešno zdravljenje različnih vrst ustnih bolezni in zdravstvenih tegob.

Prijazno vas pozdravimo in poskrbimo za vas, ko želite narediti nekaj dobrega za zdravje. Saj je zdravje zob pomembno za zdravje celotnega telesa in pa tudi samopodobo.
Pohvalimo se lahko z učinkovitim zdravljenjem ustnih bolezni daleč naokoli. Pacienti iz Portoroža pa pri nas velikokrat pohvalijo tudi:
Nikar ne skrbite in vedite, da ste pri nas v dobrih rokah. Pri svojem delu prisegamo na kakovost storitev, ki jih izvajamo in uporabljenih materialov.
Ob obisku nam zaupajte težave, mi pa bomo poskrbeli za nemoteno in kvalitetno zdravljenje ustnih bolezni. Obiščite nas v Portorožu in dovolite, da vam narišemo nasmešek na obraz.
Povpraševanja
Ocene 0