Iščete zanesljivo, strokovno in mirno obravnavo, kjer se srcu posvetijo celostno in natančno? V Pulmološki ambulanti dr. Snežane Ulčar Kostić – Zdravnica srca izvajamo diagnostične in specialistične preglede, namenjene pravočasnemu odkrivanju srčnih, pljučnih in alergoloških težav. Ultrazvok srca v Ljubljani in okolici opravljamo z najsodobnejšo opremo in z dolgoletnimi kliničnimi izkušnjami, ki omogočajo zanesljivo oceno stanja srca in njegovega delovanja.
Razlogi, da se pacienti odločajo za našo ambulanto in jo z veseljem tudi priporočajo drugim, so:
Pri delu izhajamo iz dejanskega zdravstvenega stanja posameznika. Ne osredotočamo se zgolj na izvide, temveč upoštevamo tudi življenjski slog, obremenitve in širše zdravstvene dejavnike. Prav zato se številni odločajo za ultrazvok srca v Ljubljani in okolici v ambulanti, kjer si zdravnica vzame čas za razlago in jasne usmeritve.

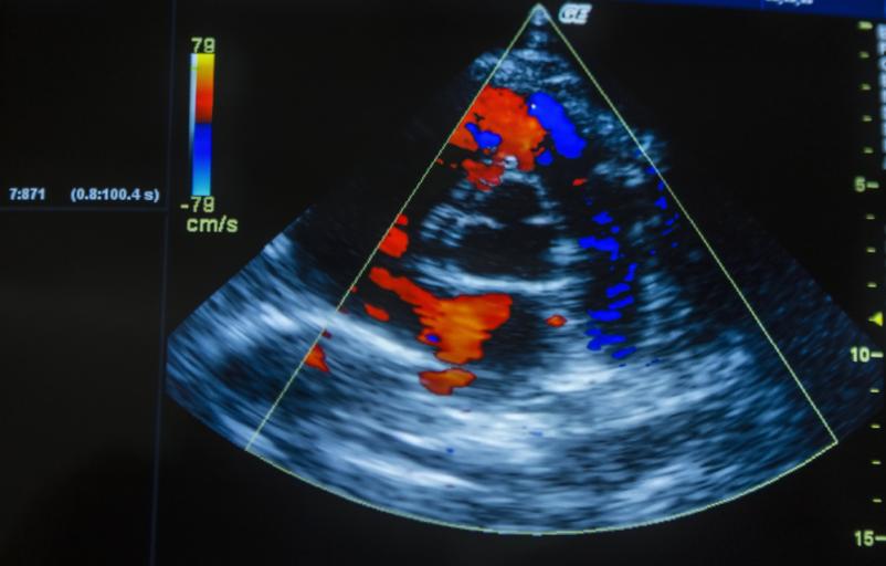
Ultrazvočni pregled srca je ena ključnih diagnostičnih preiskav v kardiologiji. Ultrazvok srca v Ljubljani in okolici omogoča oceno srčne mišice, zaklopk in pretoka krvi, kar zdravnici nudi vpogled v delovanje srca v realnem času.
Preiskava poteka brez sevanja, je neboleča in varna. Pacient med pregledom leži na boku, zdravnica pa s sondo pregleda srce iz različnih kotov. Celoten postopek običajno traja približno dvajset do trideset minut in ne zahteva posebnih priprav.
Ultrazvočni pregled je primeren tako ob sumu na bolezen kot tudi preventivno. Z njim lahko odkrijemo spremembe v zgodnji fazi, kar omogoča pravočasno ukrepanje in spremljanje stanja. Pregled je posebej priporočljiv pri:

V ambulanti izvajamo tudi specialistične preglede s področja pulmologije, alergologije in interne medicine. Ultrazvok srca v Ljubljani in okolici pogosto dopolnjujemo s celostno oceno dihalnega sistema in notranjih organov, kadar to zahteva zdravstveno stanje pacienta.
Pulmološki pregledi so namenjeni zgodnjemu odkrivanju bolezni dihal in spremljanju kroničnih stanj. Alergološka diagnostika poteka z varnimi kožnimi testi, ki omogočajo natančno prepoznavanje alergenov in pripravo individualnega načrta obravnave.
Internistična ocena združuje podatke različnih sistemov v telesu in omogoča boljši pregled nad celotnim zdravstvenim stanjem. Takšen pristop pomaga razumeti povezave med srcem, pljuči in drugimi organi. Pomemben del našega dela predstavlja tudi strokovno svetovanje. Pacientom in njihovim svojcem nudimo jasne informacije o poteku bolezni, možnostih zdravljenja in nadaljnjih korakih.

Vsakega pacienta obravnavamo kot celoto. Zavedamo se, da so telesni simptomi pogosto povezani tudi s čustvenimi in duševnimi obremenitvami. Zato ultrazvok srca v Ljubljani in okolici v naši ambulanti poteka v okviru širše, celostne obravnave.
Zdravnica ima dolgoletne klinične izkušnje, ki omogočajo prepoznavanje tudi bolj subtilnih znakov neravnovesja v telesu. Ordinacija je opremljena z najsodobnejšo diagnostično opremo, hkrati pa ohranja občutek topline in varnosti. Pri obravnavi izpostavljamo:
Če iščete zdravnico, ki združuje strokovno znanje, izkušnje in celosten pogled na zdravje, je ambulanta Zdravnica srca prava izbira. Kontaktirajte nas za več informacij in se naročite na pregled v naši ordinaciji.
Cenik – ultrazvok srca Ljubljana, okolica:
Cena pregleda je odvisna od obsega diagnostike in dodatnih specialističnih storitev. Natančne informacije prejmete ob naročilu ali ob prvem posvetu, zato nam pošljite povpraševanje.

Povpraševanja
Ocene 4
Dobra terapija!
Prišla sem zaradi izčrpanosti 👍. Terapija je potekala mirno in strokovno, počutje pa se je postopno izboljšalo. Po terapiji sem imela občutek da imam več energije 🙂. Všeč mi je bilo, da je zdravnica vse razložila in da ni bilo nobenega hitenja.
zelo prijazni, srčni in ustrežljivi, priporočam