Ugoden zobni rentgen Ljubljana |
Že več kot 10 let vam pri M&I ZOBOZDRAVSTVO, D.O.O. nudimo kvalitetne storitve slikanja zob.
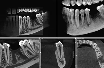
Sodobna rentgenska diagnostika, ki je na voljo pri nas, obsega:
Pri nas zobni rentgen dobite hitro in ugodno, postopek slikanja pa je popolnoma varen in neboleč.

Pomembno nam je, da težave diagnosticiramo takoj in skrajšamo zdravljenje, zato smo se odločili, da poleg ostalih zobozdravstvenih storitev ponuditi tudi zobni rentgen. Tako kot ostale storitve vam je na voljo na naslovu Podmilščakova ulica 19, Ljubljana.
Celovita storitev na enem mestu je tudi največja prednost našega zobozdravstvenega centra.
Za slikanje zob pacientov ne pošiljamo na druge lokacije. S tem vam prihranimo čas in denar, zato boste tudi vedno naleteli na nas, če iščete ugoden zobni rentgen v Ljubljani.
Dobro znamo poskrbeti za zdrave in lepe nasmehe. Terapije, zobni rentgen in vse ostalo izvajamo z najsodobnejšo diagnostično opremo, vrhunskimi materiali in pripomočki. Pri tem nam seveda ne manjka znanj in prakse, kar stalno bogatimo, da pri nas resnično dobite zobozdravstveno oskrbo na najvišjem možnem nivoju.
Ne glede na to, ali potrebujete zgolj ugoden zobni rentgen ali v Ljubljani iščete ortodonta, zobozdravnika, strokovnjaka za implantate, v najkrajšem možnem času smo vam na voljo za vse.
Naročite se po telefonu ali preko e-maila, kjer smo vam na voljo tudi za vse ostale dodatne informacije.
Povpraševanja
Ocene 0