Samoplačniški zobozdravnik Ljubljana, okolica |
Iščete, kateri je dober samoplačniški zobozdravnik v Ljubljani ali okolici?
Si želite naročiti v ambulanto, ki je znana po hitri obravnavi pacientov in strokovnosti?
Želite k zobozdravniku, ki bo vašim težavam z zobmi namenil dovolj časa in poskrbel, da vam bo med pregledi in posegi kar najbolj prijetno?
Naročite se v ambulanto ZOBOZDRAVSTVO IN USTNA HIGIENA SENČAR
Paciente iz Ljubljane in širše okolice samoplačniško sprejemamo na naslovu Ljubljanska cesta 33B, Kamnik.

Smo samoplačniški zobozdravnik, vreden zaupanja. Preverite zakaj:
- Naročamo hitro, imamo znanje in dolgoletno prakso v stomatološki dejavnosti.
- Stalno se izobražujemo, spremljamo novosti v razvoju materialov in za paciente uporabljamo samo najboljše izdelke in postopke.
- Naše cene so glede na visoko kakovost storitev zelo dostopne.
Strah pred zobozdravnikom je pri nas popolnoma odveč. Poskrbeli bomo za najhitrejšo možno obravnavo in seveda učinkovite rešitve, ki jih bomo izvedli kar najbolj prijetno in brez bolečin za vas.

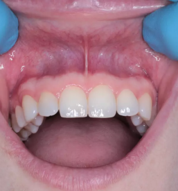
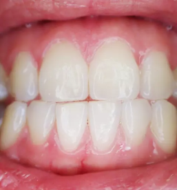
V naši zobni ambulanti pacientom zagotavljamo celostno obravnavo težav z zobmi in dlesnimi.
Med naše storitve sodijo:
Potrebujete več informacij? Pokličite na objavljene telefonske številke.
Z veseljem odgovorimo na vsa vaša dodatna vprašanja in za vas najdemo termin, ko se bo samoplačniški zobozdravnik, eden najboljših v Ljubljani in okolici, posvetil samo vam.
Povpraševanja
Ocene 6
Dober zobozdravnik
Dober zobozdravnik,ki prisluhne pacientom in poskrbi za neboleče zdravljenje. Priporočam vsem!
Ali nam lahko zaupate, kaj vam ne ustreza?