Zdravje zob in dlesni je tesno povezano s splošnim počutjem, zato je redna ustna higiena izjemno pomembna. Prav zato v podjetju Ustna higiena, Tea Tavčar s.p. izvajamo strokovno odstranjevanje zobnega kamna na Primorskem, namenjeno vsem, ki želijo dolgoročno ohraniti zdrav in urejen nasmeh.
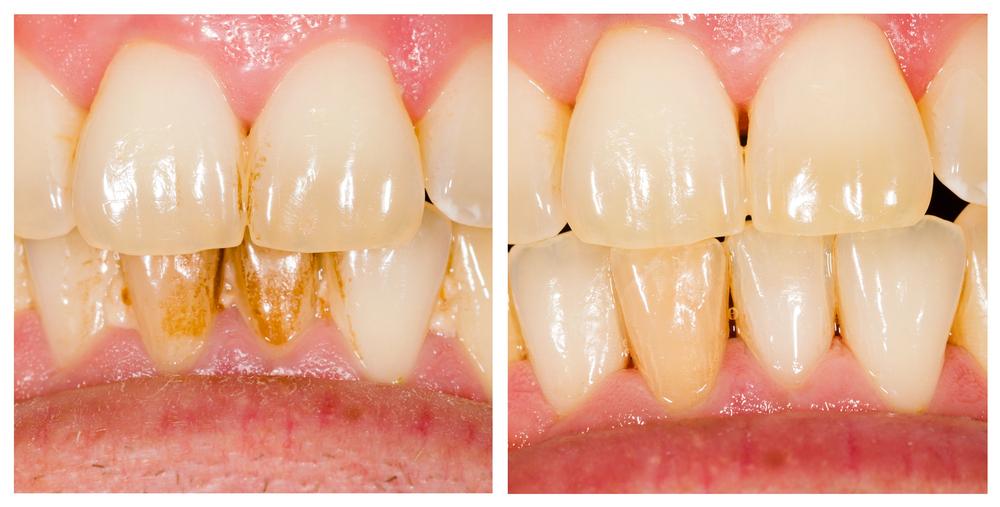
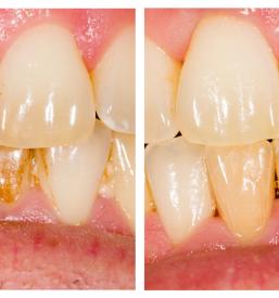
Zobni kamen nastaja postopoma zaradi nalaganja zobnih oblog, ki jih z vsakodnevnim ščetkanjem ni mogoče popolnoma odstraniti. Ker nastaja počasi in pogosto brez bolečin, ga mnogi spregledajo, dokler se ne pojavijo težave, kot so krvavenje dlesni, slab zadah ali občutljivost zob. Redna profesionalna ustna higiena ima zato pomembno vlogo pri preprečevanju zapletov in ohranjanju zdravja ustne votline.

V naši sodobno opremljeni ordinaciji v Šempetru pri Gorici izvajamo postopke ustne higiene z uporabo preverjenih metod in natančne opreme. Posebno pozornost namenjamo temu, da je obravnava učinkovita, a hkrati nežna do zob in dlesni. Vsak obisk je prilagojen posamezniku, saj se stanje ustne votline med ljudmi močno razlikuje glede na navade, prehrano in genetiko.
Odstranjevanje zobnega kamna na Primorskem pri nas ni namenjeno zgolj estetskemu videzu zob, temveč predvsem dolgoročnemu zdravju. Z odstranitvijo trdih in mehkih oblog zmanjšamo prisotnost bakterij, ki povzročajo vnetja dlesni in druge težave. Redna obravnava tako pomaga ohraniti čvrste dlesni, zdrave zobe in prijeten občutek v ustih.
V okviru ustne higiene izvajamo več storitev, ki se med seboj dopolnjujejo in omogočajo celostno obravnavo:
Storitev vedno prilagodimo dejanskemu stanju in potrebam stranke.

Našo ordinacijo obiskujejo stranke iz Šempetra pri Gorici, širše okolice in celotne regije. Odstranjevanje zobnega kamna na Primorskem izvajamo za vse, ki iščejo
Prav osebni pristop in natančnost sta razloga, da se stranke k nam vračajo.
Velik poudarek namenjamo tudi komunikaciji. Med obiskom si vzamemo čas za razlago postopkov, pojasnimo vzroke za nastanek zobnega kamna ter svetujemo, kako z ustrezno domačo nego ohraniti rezultate čim dlje. S tem želimo, da stranke razumejo pomen redne ustne higiene in aktivno sodelujejo pri skrbi za svoje zobe.
Odstranjevanje zobnega kamna na Primorskem je priporočljivo opravljati redno, najpogosteje enkrat ali dvakrat letno, odvisno od posameznika. Pravočasni obiski pomagajo preprečiti hujše težave, ki lahko zahtevajo bolj zahtevne in neprijetne posege. Preventiva je vedno enostavnejša in prijaznejša rešitev.

Naš cilj je, da je obisk v ambulanti Ustna higiena, Tea Tavčar s.p. v Šempetru pozitivna izkušnja. Poskrbimo za sproščeno vzdušje, spoštujemo dogovorjen čas in vsaki stranki namenimo dovolj pozornosti. Odstranjevanje zobnega kamna na Primorskem pri nas poteka brez hitenja in z mislijo na dolgoročno zdravje ustne votline.
Če želite ohraniti zdrav nasmeh in preprečiti težave z zobmi ali dlesnimi, je odstranjevanje zobnega kamna na Primorskem prava odločitev. S strokovno ustno higieno boste poskrbeli za zdravje, samozavest in svež občutek v ustih skozi vse leto.
Cenik – odstranjevanja zobnega kamna na Primorskem:
Za cene in vse ostale informacije smo vam na voljo po telefonu oziroma elektronski pošti. Vse kontaktne podatke najdete na vrhu te strani. Dosežete nas lahko tudi tako, da s klikom na rumen gumb oddate povpraševanje preko portala Moja dejavnost.

Povpraševanja
Ocene 4
Navdušena
Odlična je, zelo simpatična in prijazna. Proces je neboleč in hitro mine, cena je pa super, za to kar dobiš. Priporočam!
Čiščenje zobnega kamna
Res neboleče, pa učinkovito. Pa cena je bila korektna.
Ali nam lahko zaupate, kaj vam ne ustreza?