Si želite popolnega nasmeha, s katerim boste očarali vsakogar? Iščete inovativen, sodoben zobotehnični laboratorij, ki lahko to uresniči? Dental Spectrum Studio temelji na profesionalnosti, vrhunskih rezultatih in natančnosti, zagotavlja enkratne rešitve, prilagojene posamezniku, in tesno sodelovanje med tehnikom, zobozdravnikom, in seveda pacientom.
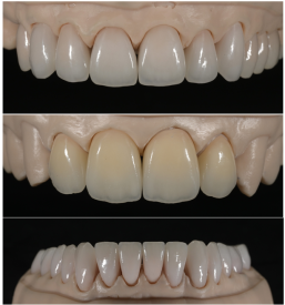
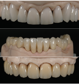
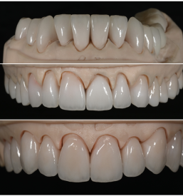
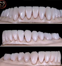
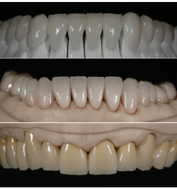
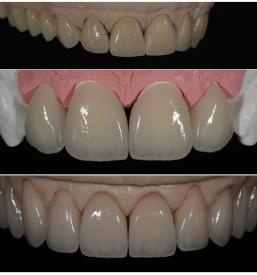
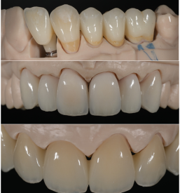
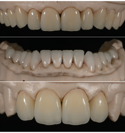
Izdelujejo estetske zobne venirje, narejene individualno za vsakogar, prilagojene posamezniku, oblikovane in narejene s pomočjo najbolj sodobnih pristopov in tehnologije.

Dental Spectrum Studio zaposluje izobražene, izkušene in specializirane strokovnjake s področja zobne tehnike, laboratorij tvori edinstvena ekipa, ki stremi k iskanju inovativnih rešitev, pristopov in tehnologij, in nenehno nadgrajuje svoje delo. Vsak posameznik laboratorija je strokovnjak na svojem področju, v laboratoriji pa smo svoje znanje izpopolnili s sistemom 3Shape, odlikuje pa nas tudi izobraževanje pri podjetju Imes Icore.
Estetske zobne venirje in ostale protetične rešitve izdelujemo s pomočjo 3D modelov s printerja Asiga, ki presega vse ostale v svetu dentalne tehnike.
Estetski zobni venirji ali zobne luske so pravzaprav izredno trdne a tanke keramične luske, ki prekrije sprednji del ali površino zoba, in tako izboljša njegovo:
Z vstavitvijo estetskih zobnih venirjev lahko brez agresivnih, invazivnih posegov, pacientu enostavno in učinkovito zagotovimo bleščeč nasmeh, ki bo obenem videti naraven.

V Dental Spectrum Studio prisegamo ne le na vrhunsko tehnologijo, pač pa tudi a prvovrstne materiale. Med slednjimi izstopajo Feldspadske porcelanske luske (Feldspathic Porcelain Veneers), s pomočjo katerih lahko oblikujemo estetske zobne venirje zares naravnega videza, saj material omogoča tudi odlično stopnjo transparentnosti.
Tovrstni estetski zobni venirji so v zobotehničnem in stomatološkem svetu med najbolj cenjenimi.
Poleg estetskih zobnih venirjev pa v našem laboratoriju nudimo tudi druge rešitve s področja protetike:

Ker stremimo k napredku in ostajamo v koraku s časom, v svoje delo nenehno vpeljujemo novosti. Trenutno izdelujemo protetične rešitve na sistemih:
Ravno zato smo v Dental Spectrum Studio priljubljena izbira zobozdravnikov ne le za izdelavo estetskih zobnih venirjev, pač pa tudi za najzahtevnejše primere, ki zahtevajo obsežno znanje in neprimerljivo natančnost pri delu in rezultatih.
Vsakega izziva se z veseljem lotimo, in radi se pohvalimo, da do danes še nismo dobili primera, ki ga ne bi uspešno rešili. Naša strokovnost, vsestranskost in inovativnost nas vodijo in zagotavljajo, da svoje delo opravljamo brezhibno.
Zavedamo se, da je estetski vidik v zobozdravstvu za veliko pacientov eden pomembnejših, zato so naši estetski zobni venirji in ostale protetične rešitve, prva izbira mnogih zobozdravnikov in pacientov v Sloveniji. Smo pravi naslov tako za preproste rešitve kot tudi za oblikovanje popolnoma novega nasmeha. Nadomestek, ki ga izdelajo naši strokovnjaki, se bo z naravnimi zobmi zlil neopazno in v popolnosti.
Vabljeni, da nas kontaktirate na naveden podatke, če vas zanima sodelovanje z nami, imate kakršnakoli vprašanja o delu, ki ga opravljamo, ali pa vas zanima več o estetskih zobnih venirjih, ki jih izdelujemo. Naj vaš nasmeh očara prav vsakogar.

Povpraševanja
Ocene 2
kvalitetni in lepi venirji!
Vrhunska tehnologija in izjemno znanje na področju implantatov. Priporočam vsem zobozdravnikom, ki iščejo zanesljivega partnerja za zahtevne primere. 🔝
Natančno, estetsko in strokovno zobotehnično delo
V Dental Spectrum Studio so mi izdelali zobno prevleko in sem bila res zadovoljna. Delo je izjemno natančno, barva popolno ujemaajoča z naravnimi zobmi. Ekipa je profesionalna.
Ali nam lahko zaupate, kaj vam ne ustreza?