Če iščete izkušenega in profesionalnega ortodonta v Velenju je ORTODONTIJA MALINGER, zobozdravstvena specialistična dejavnost, d.o.o. pravi naslov za vas.

Ordinacija se nahaja na Vodnikovi cesti 1 v Velenju, kjer vas pričakuje specialist ortodont in ostalo strokovno in izkušeno osebje, ki vam bo pomagalo do lepega in zdravega nasmeha.
Ortodontske storitve se izvajajo iz estetskih razlogov ali pa iz medicinskih vzrokov. Na voljo so vam fiksne in snemne zobne aparate, estetske in nevidne aparate. Pri nas so vam na voljo kakovostni zobni aparati, obiščite nas in se prepričajte sami.
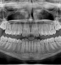
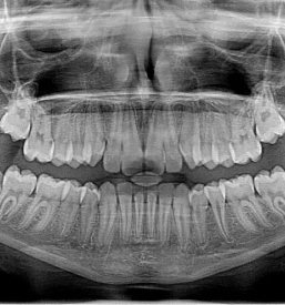
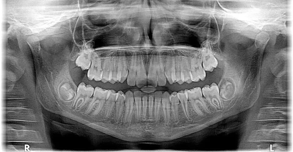
Dober ortodont v Velenju poskrbi za klinične preglede in tudi natančne analize
rentgenskih posnetkov ter izdela kvaliteten načrt zdravljenja in
vzdrževanja zobovja.
Za svoje paciente in težave z nepravilno rastjo zob Ortodontija Malinger skrbi celovito. Obravnavajo tako otroke, kot tudi odrasle paciente. Ne glede na to, ali je obisk ortodonta estetske narave ali gre za nujno medicinsko obravnavo, ste vedno dobrodošli.

Ukvarjamo
se tako s snemnimi aparati, te običajno nosijo otroci, in fiksnimi
oziroma nesnemnimi aparati, ki so namenjeni obravnavi nepravilno zraslih
stalnih zob.
Dober ortodont v Celju, okolici, ne bo poskrbel le za zdravje vaših zob, lepo zobovje namreč pripomore k lepšemu izgledu celega obraza, kar vam bo dvignilo samozavest in nasmeh si boste želeli pokazati.
Na preglede se je potrebno naročiti po telefonu ali elektronski pošti, kjer je dober ortodont v Celju, okolici na voljo tudi, da vam odgovori na vsa dodatna vprašanja.
V ambulanti vam nudimo kvalitetne ortodontske storitve v Celju okolici, Velenju, za več informacij nas pokličite in dogovorili se bomo za ustrezen termin.
Povpraševanja
Ocene 0